Ιστορική αναδροµή
Το 1911 πρωτοεµφανίστηκε η εύκαµπτη ενδοσκόπηση, ενώ αργότερα -το 1956- αναπτύχθηκε η συµβατική διακοιλιακή υπερηχοτοµογραφία. Τη δεκαετία του 1980 έγινε συγχώνευση των δύο αυτών τεχνικών, υπό τη µορφή της ενδοσκοπικής υπερηχοτοµογραφίας. Η εισαγωγή της παρακέντησης διά λεπτής βελόνας (FNA) το 1991 έδωσε στην ενδοσκοπική υπερηχοτοµογραφία ώθηση για κλινική εφαρµογή και έκτοτε ξεκίνησε µια ανοδική πορεία στον τοµέα των ελάχιστα επεµβατικών τεχνικών της γαστρεντερολογίας. 
Τι είναι ενδοσκoπικός υπέρηχος
Στον ενδοσκοπικό υπέρηχο ένας µικρός ηχοβολέας, σε µέγεθος µπιζελιού, είναι ενσωµατωµένος στην άκρη του ενδοσκοπίου. Η ενδοαυλική θέση του υπερήχου παρακάµπτει τα γνωστά για τη συµβατική υπερηχοτοµογραφία εµπόδια, του αέρα των κοίλων οργάνων, των οστών και της απόστασης. Το τελευταίο επιτρέπει τη χρήση υψηλών συχνοτήτων ηχοβολέων, που επιτρέπουν τη λεπτοµερή απεικόνιση του εντερικού τοιχώµατος και των παρακείµενων οργάνων.
Υπάρχουν δύο κυρίως ηχο-ενδοσκόπια. Αυτά δίνουν τη δυνατότητα απεικόνισης τόσο κατά µήκος του άξονα του ενδοσκοπίου (linear) όσο και κάθετα προς αυτόν (radial). To «linear» ηχο-ενδοσκόπιο επιτρέπει τη λήψη καθοδηγούµενης βιοψίας. Οι βιοψίες που µπορούν να παρθούν παρέχουν υλικό για κυτταρολογία (FNA) ή και για ιστολογία (FNB), ανάλογα µε τη θέση και την υφή της βλάβης.
H εξέταση διαρκεί περίπου 30-60 λεπτά, γίνεται µε τον ίδιο τρόπο όπως µια γαστροσκόπηση και υπό καταστολή µε την παρουσία αναισθησιολόγου.
Ποιες είναι οι κλινικές ενδείξεις του ενδοσκοπικού υπερήχου;
Διερεύνηση υποβλεννογόνιων βλαβών του οισοφάγου, του στοµάχου και του δωδεκαδακτύλου και όπου ενδείκνυται βιοψία διά λεπτής βελόνας. Με τον ενδοσκοπικό υπέρηχο δύναται να προσδιοριστεί από ποια στιβάδα του γαστρεντερικού τοιχώµατος εξορµάται η βλάβη.
Σταδιοποίηση νεοπλασιών οισοφάγου και στοµάχου. Προσδιορίζονται το βάθος διήθησης του καρκίνου (T stage) και η παρουσία παθολογικών παρακείµενων λεµφαδένων (N stage).
Βιοψία και σταδιοποίηση µαζών παγκρέατος. To πάγκρεας είναι ένα δύσκολα προσβάσιµο όργανο για βιοψία µε τη διαδερµική µέθοδο. Ο ενδοσκοπικός υπέρηχος παρέχει τη δυνατότητα ασφαλούς πρόσβασης για βιοψία της βλάβης. Βιοψίες στην κεφαλή και την αγκιστροειδή απόφυση γίνονται µέσω του δωδεκαδακτύλου, ενώ στο σώµα και την ουρά του παγκρέατος από το στοµάχι.
Παρακέντηση παγκρεατικών κύστεων. Στο υγρό που αναρροφάται γίνεται ανάλυση για CEA, αµυλάσης και κυτταρολογική εκτίµηση.
Παροχέτευση παγκρεατικών κύστεων. Γίνεται εσωτερική ενδογαστρική παροχέτευση µέσω πλαστικών stent.
Νευρόλυση κοιλιακού πλέγµατος. Σε περιστατικά κοιλιακού άλγους που δεν ανταποκρίνεται σε αναλγητικά, στις περιπτώσεις χρόνιας παγκρεατίτιδας ή καρκίνου του παγκρέατος.
Βιοψία λεµφαδένων µεσοθωρακίου και άνω κοιλίας.
Βιοψία και σταδιοποίηση νεοπλασιών πνεύµονα.
∆ιερεύνηση για διάταση του χοληδόχου πόρου και όπου ενδείκνυται βιοψία. Λεπτοµερή αξιολόγηση του φύµατος Vater και βιοψία. Αξιολόγηση των εξω-ηπατικών χολαγγείων για την παρουσία λίθων ή κακοήθειας.
Μελλοντικές προοπτικές/νεότερες τεχνικές
- Η ελαστογραφία επιτρέπει τη διαφοροποίηση µεταξύ σκληρών (κακοήθων) και µαλακών (καλοήθων) βλαβών.
- Η χρήση σκιαγραφικού αξιολογεί µε ακρίβεια την αγγειοβρίθεια µιας βλάβης.
- Η τεχνική της «Needle-based confocal laser endomicroscopy» επιτρέπει την «οπτική» ιστολογία µε τη χρήση φθορίζοντος σκιαγραφικού, όπως, για παράδειγµα, για περαιτέρω χαρακτηρισµό παγκρεατικών κυστών.
- Αποσυµπίεση του παγκρεατικού ή κοινού χοληδόχου πόρου εκεί όπου η ERCP έχει αποτύχει.
- Παροχέτευση της χοληδόχου κύστης σε οξεία χολοκυστίτιδα σε ασθενείς που δεν µπορεί να γίνει χολοκυστεκτοµή και σε περιστατικά καρκίνου του παγκρέατος.
- Παροχέτευση αποστηµάτων, όπως µεσοθωρακίου, περιηπατικά, υποδιαφραγµατικά ή στον ελάσσονα επιπλοϊκό θύλακο.
- Η τεχνική tattooing µέσω ενδοσκοπικού υπέρηχου προ-εγχειρητικά µπορεί να υποβοηθήσει τον εντοπισµό της παγκρεατικής βλάβης και να µειώσει τον χρόνο της λαπαροσκοπικής περιφερικής παγκρεατεκτοµής.
- Ο ενδοσκοπικός υπέρηχος, επίσης, µπορεί να χρησιµοποιηθεί στην εντοπισµένη θεραπευτική αγωγή υπό τη µορφή χηµειοθεραπείας, κατάλυσης µε αλκοόλη, εισαγωγής δεικτών για εντοπισµένη ακτινοθεραπεία και φωτοδυναµική θεραπεία.
- Στο µέλλον ο ρόλος του ενδοσκοπικού υπερήχου πιθανόν να επεκταθεί και σε αγγειογραφίες, π.χ., κλάδους του αλλήρειου τρίποδα, της ηπατικής φλέβας και σε µέτρηση της πυελοφλεβικής πίεσης, αλλά και σε θεραπευτικές εφαρµογές για την αντιµετώπιση αιµορραγίας από γαστρικούς κιρσούς και εµβολισµό ανευρυσµάτων.
- Επίσης, σαν χειρουργική µέθοδος -Natural orifice transluminal endoscopic surgery (NOTES)- µια υποσχόµενη µέθοδος αφαίρεσης εσωτερικών οργάνων διάµεσου φυσιολογικών ανατοµικών οδών, όπως η γαστρεντερική οδός, π.χ., χολοκυστεκοµή.
Συµπέρασµα
Ο ενδοσκοπικός υπέρηχος είχε µια αλµατώδη πορεία τα τελευταία 25 χρόνια. Έχει αποκτήσει µια γκάµα από εργαλεία για την ακριβέστερη αξιολόγηση βλαβών του άνω πεπτικού συστήµατος. Με τις νεότερες τεχνικές ο ενδοσκοπικός υπέρηχος τώρα δίνει τη δυνατότητα να χρησιµοποιηθεί η κεντρική θέση της εντερικής οδού σαν πρόσβαση σε πολλά άλλα παρακείµενα όργανα του σώµατος.
Δηµοσθένης Μιχαηλίδης
MD, FRCR, FRCP
Ιατρός Ακτινοδιαγνώστης
∆ιαγνωστικό Κέντρο ΑΛΦΑ ΕΥΡΕΣΙΣ
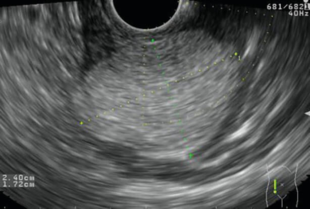
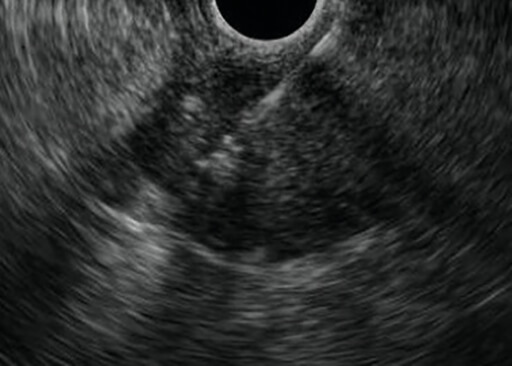
Εικόνες 1, 2: Εξελκώµενο GIST (GastroIntestinal Stromal Tumour) στοµάχου
Εικόνα 3: Υπερηχογενές λίπωµα στοµάχου
Εικόνα 4: Βιοψία FNB σε αδενοκαρκίνωµα παγκρέατος

Εικόνα 1

Εικόνα 2

Εικόνα 3


