Του Ιωάννη Μπουζαλά Βιοκλινική Αθηνών
ένα νέο όπλο στη μάχη κατά του καρκίνου του προστάτη

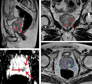
Η πολυπαραμετρική μαγνητική τομογραφία (multiparametric magnetic resonance image, mpΜRI) του προστάτη με έναν μαγνητικό τομογράφο στα 3 Tesla αποτελεί μια σημαντική εξέταση για τη διάγνωση, σταδιοποίηση και επιλογή της καταλληλότερης θεραπείας για τον καρκίνο του προστάτη. Συνδυάζει ειδικές τεχνικές με ανατομικές εικόνες υψηλής ευκρίνειας με αποτέλεσμα τη σημαντική αύξηση της ακρίβειας στην ανίχνευση του καρκίνου. Αποτελεί σημαντικό εργαλείο στην ανάδειξη και τον χαρακτηρισμό νεοπλασματικών αλλοιώσεων, την ακριβή τοπική σταδιοποίηση της νόσου, τον σχεδιασμό θεραπείας καθώς και την ανίχνευση τοπικής υποτροπής. Επίσης είναι χρήσιμη για την καθοδήγηση διορθικής βιοψίας.
Η χρήση της πολυπαραμετρικής μαγνητικής τομογραφίας βοηθά:
- Στην ανίχνευση και χαρτογράφηση του καρκίνου του προστάτη
- Στη σταδιοποίηση του καρκίνου
- Στο σχεδιασμό της θεραπείας από τον ιατρό ουρολόγο
- Στην παρακολούθηση της διαφοροποίησης του όγκου
- Στην αξιολόγηση της αποτελεσματικότητας μιας θεραπευτικής παρέμβασης
- Στον έλεγχο της υποτροπής καρκίνου
Η Βιοιατρική διαθέτει στην Κεντρική Μονάδα Αμπελοκήπων τον κορυφαίο παγκοσμίως μαγνητικό τομογράφο DISCOVERY MR750 3.0 Tesla της General Electric, μοναδικό στο είδος του στην Ελλάδα.

Ιωάννης Σ. Mπουζαλάς
Χειρουργός Ουρολόγος – Ανδρολόγος

